近日,邵阳学院附属第二医院骨二科 (关节与创伤外科)成功为一名A型血友病合并左侧胫骨骨折(粉碎性)、右侧股骨外髁骨折患者完成手术治疗,预后良好,标志着我院综合实力又上了一个新的台阶。
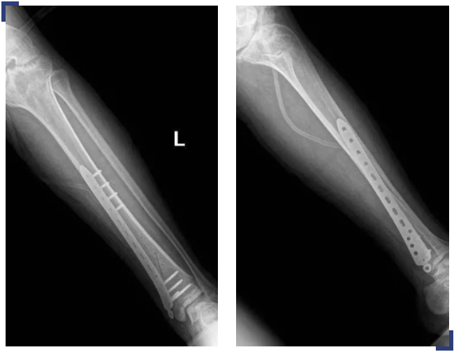
胫骨远端骨折本是骨科的常见病,我院骨二科对此类手术已经做得炉火纯青了,但这次收治的患者小汤(化名)却有其特殊性:是一名A型血友病患者。血友病是一种因为体内某种凝血因子缺乏,导致血液不能正常凝固,即使一个小小的伤口,也会因为血液不凝固导致出血不止而危及生命的疾病,严重者还会发生自发性出血,更别说开放性手术了。所以,当地医院建议小汤转上级医院进一步治疗,遂转入我院骨二科。
鉴于病人特殊,骨二科立即邀请血液肿瘤科(血友病治疗中心)会诊指导围术期血友病凝血因子管理。科室进行疑难病例讨论,对手术指征的把握、手术入路、固定方式、软组织的保护、如何减少术中术后出血、术后可能的并发症及如何预防等进行深入讨论。最终选择使用MIPO技术(微创钢板接骨术)对胫骨骨折进行复位,坚强固定,术前、术中、术后进行凝血因子的补充,可有效减轻软组织的损伤。术中仔细止血,减轻术后出血风险,术后早期功能锻炼。患者的右侧股骨外髁骨折无明显移位,予以保守治疗。
由于病例的罕见性,我院还充分发挥医联体作用,术前邀请湘雅医院骨科杨教授、血液科彭教授行远程会诊。两位教授认真分析病情,高度同意我们的治疗方案,并分享了他们宝贵的治疗经验。

经过详细的术前准备,骨二科主任吴海河带领其医护团队与手术室、麻醉科、血液肿瘤内科等的密切配合,手术顺利实施,达到了理想的治疗效果,目前恢复良好。

血友病患者外科手术需要多学科合作,既往需转省城医院治疗。近年来我院主抓内涵建设,开展多学科会诊模式(MDT),有效整合医院资源,不断提高急危重症的救治能力,使很多危重患者在家门口就可得到有效治疗,免于舟车劳顿。